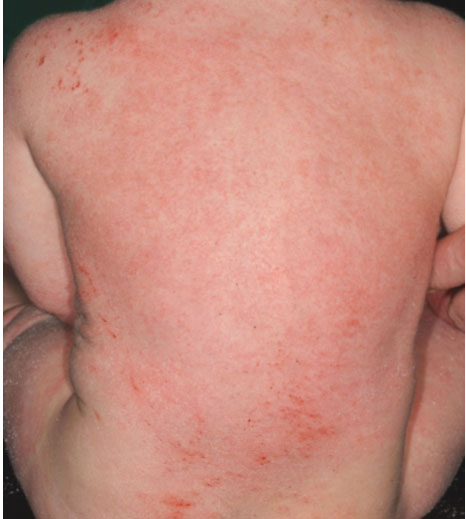
Neurodermitis
Die Neurodermitis beginnt häufig im ersten Lebenshalbjahr. Ein frühezeitiges Stellen der richtigen Diagnose und eine stadiengerechte Therapie sind zu diesem Zeitpunkt entscheidend. So kann der so genannte „Atopische Marsch“, d.h. der Krankheitsweg von der Neurodermitis hin zu anderen allergischen Erkrankungen wie Asthma und Heuschnupfen, vermieden werden.
Im Erwachsenenalter ist es wichtig, dass der Patient Manager seiner eigenen Erkrankung wird. Ihm dabei zu helfen, ist Aufgabe des behandelnden Hautarztes.


